At Dental Group Palomar, restorative dentistry is essential for bringing your teeth and gums back to optimal health and functionality. If you’re dealing with damaged, decayed, or missing teeth, our restorative services are designed to repair, rebuild, and restore your smile, allowing you to enjoy the full benefits of a healthy, functional set of teeth.
Key Restorative Dentistry Procedures
Restorative dentistry includes a range of treatments tailored to address specific dental issues. Here are some of the key services we offer:
Endodontics

Endodontic treatment, commonly known as root canal therapy, is vital when the nerves of your teeth are damaged due to fractures, deep decay, or trauma. This procedure removes the infected or damaged nerve tissue, cleans the inside of the tooth, and seals it to prevent further infection. By preserving the natural tooth, endodontics allows you to maintain the function and aesthetics of your smile.
Periodontics

Periodontal disease, or gum disease, can cause significant damage to the soft tissue and bone supporting your teeth, potentially leading to tooth loss. Our periodontic treatments, including deep cleanings and scaling and root planing, are designed to halt the progression of gum disease, reduce inflammation, and restore the health of your gums.
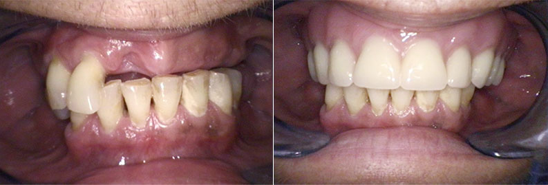
Prosthodontics

Prosthodontics focuses on the restoration and replacement of missing teeth. We offer both removable prostheses, such as partial or full dentures, and fixed prostheses, including crowns and bridges. These restorations are custom-made to blend seamlessly with your natural teeth, restoring the function, appearance, and confidence that come with a complete smile.
The Importance of Restorative Dentistry
Restorative dentistry is about more than just fixing teeth—it’s about improving your quality of life. By addressing dental issues promptly, you can prevent more serious complications and enhance your ability to eat, speak, and smile with confidence.
Schedule Your Restorative Dentistry Consultation Today
At Dental Group Palomar, we are dedicated to helping you regain your oral health through personalized restorative dentistry services. Contact us today to schedule a consultation and let us help you restore your smile and improve your oral health.
Contact Us